Restorative Dentistry
Root Canal Treatment (RCT)
At our state-of-the-art dental clinic, we specialize in providing expert root canal treatment in AECS Layout to help you preserve your natural teeth.

If you’ve been searching for the best dentist near me or a dental clinic near me in AECS Layout, Whitefield, Brookefield, or Kundalahalli Gate, your search ends here. At Dental Wellness, we blend advanced technology with a caring touch to keep every smile bright, confident, and completely pain-free.

Dr. Shobha Nangrani is the founder of Dental Wellness with over 18 years of experience. She is a state rank holder in Endodontics and Oral Surgery.
Dr. Shobha Nangrani is the visionary behind Dental Wellness. A state rank holder in Endodontics and Oral Surgery from R.V. Dental College, Bangalore, she brings over 18 years of clinical excellence to her practice. Her philosophy centers on changing the common phobia of visiting a dentist into a positive experience, ensuring every patient leaves with a happy, healthy smile. She specializes in advanced Root Canal Treatments and Cosmetic Dentistry, holding both an MDS and a Fellowship in Cosmetic Dentistry.
Book OnlineExplore our comprehensive range of specialized dental treatments designed for your ultimate comfort and well-being.
In our Education Center, you'll find a wealth of informative articles, insights, and FAQs covering a wide range of dental topics to help you maintain a healthy smile.
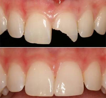
Experience the power of a perfect smile. View the incredible results our patients achieve.
BEFOREAFTER
Book a free smile consultation and let our specialists create a treatment plan tailored just for you.
Explore our high-tech facility from the comfort of your home.
Our dedicated team of specialists works together to provide world-class dental care tailored to your needs.
Check out Dental Wellness Office hours to plan your visit.
Real stories from our patients who have found confidence, comfort, and care at Dental Wellness.
“A smile I can’t stop showing off! I visited Dental Wellness for the gaps in my front teeth. Dr. Shobha explained all my options clearly, and I chose six ceramic veneers. I’m beyond happy with my new smile! Thanks to Dr. Shobha and the team for the excellent work, highly recommended for all dental needs.”
AECS Layout
"Amazing service! I got my braces and retainers done at this clinic, and I also had a tooth fixed. The doctors were very patient and made me feel comfortable throughout the process. The clinic is clean, well-organized, and the results turned out great. Definitely a place you can trust."
Brookefield
“Toothache? Gone in no time! I visited Dental Wellness and had a great experience with Dr. Shobha Nangrani. She helped me get rid of my toothache with great care. The clinic was clean, hygienic, and made the whole visit comfortable. I’ll definitely keep coming back for my dental needs!”
Bangalore
“Root canals made easy! Dr. Shobha is a wonderful doctor who truly knows her work. She handled my multiple root canal treatments with zero pain and zero hassle! The clinic is spotless and well maintained. She’s an expert, and I would absolutely recommend her treatment.”
Whitefield
“A smile I can’t stop showing off! I visited Dental Wellness for the gaps in my front teeth. Dr. Shobha explained all my options clearly, and I chose six ceramic veneers. I’m beyond happy with my new smile! Thanks to Dr. Shobha and the team for the excellent work, highly recommended for all dental needs.”
AECS Layout
"Amazing service! I got my braces and retainers done at this clinic, and I also had a tooth fixed. The doctors were very patient and made me feel comfortable throughout the process. The clinic is clean, well-organized, and the results turned out great. Definitely a place you can trust."
Brookefield
“Toothache? Gone in no time! I visited Dental Wellness and had a great experience with Dr. Shobha Nangrani. She helped me get rid of my toothache with great care. The clinic was clean, hygienic, and made the whole visit comfortable. I’ll definitely keep coming back for my dental needs!”
Bangalore
“Root canals made easy! Dr. Shobha is a wonderful doctor who truly knows her work. She handled my multiple root canal treatments with zero pain and zero hassle! The clinic is spotless and well maintained. She’s an expert, and I would absolutely recommend her treatment.”
Whitefield